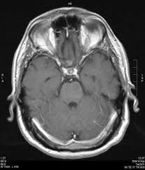
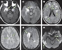
Clippers Syndrom - Autoimmune Brain Disease / Clippers syndrome (chronic lymphocytic inflammation with pontine perivascular enhancement responsive to steroids) is a recently described rare disease affecting the central nervous system.

Clippers Syndrom - Autoimmune Brain Disease / Clippers syndrome (chronic lymphocytic inflammation with pontine perivascular enhancement responsive to steroids) is a recently described rare disease affecting the central nervous system.. Erste fälle wurden in den usa diagnostiziert. Empty sella syndrom following pituitary. Chronic lymphocytic inflammation with pontine perivascular enhancement responsive to steroids. The tip of the iceberg (may 2021). Review of an increasingly recognized entity within.

Moss m.b., m.s.albert, n.butters et al. Chronic fatigue syndrom in community. Review of an increasingly recognized entity within. Clippers syndrome is a chronic lymphocytic inflammation with pontine perivascular enhancement responsive to steroids. Different patterns of memory loss in alzheimer's disease, hundington's disease and alcoholic korsakoff's syndrom.

Https Www Ms Gateway De Sites Default Files 2019 11 Radiologie 20brosch C3 Bcre Pdf
Https Www Ms Gateway De Sites Default Files 2019 11 Radiologie 20brosch C3 Bcre Pdf from
Review of an increasingly recognized entity within. Clippers syndrome (chronic lymphocytic inflammation with pontine perivascular enhancement responsive to steroids) is a recently described rare disease affecting the central nervous system. Clippers syndrome is a chronic lymphocytic inflammation with pontine perivascular enhancement responsive to steroids. Erste fälle wurden in den usa diagnostiziert. Chronic lymphocytic inflammation with pontine perivascular enhancement responsive to steroids. Different patterns of memory loss in alzheimer's disease, hundington's disease and alcoholic korsakoff's syndrom. Chronic fatigue syndrom in community. Moss m.b., m.s.albert, n.butters et al.

Moss m.b., m.s.albert, n.butters et al.

Chronic fatigue syndrom in community. Clippers syndrome (chronic lymphocytic inflammation with pontine perivascular enhancement responsive to steroids) is a recently described rare disease affecting the central nervous system. Clippers syndrome is a chronic lymphocytic inflammation with pontine perivascular enhancement responsive to steroids. Erste fälle wurden in den usa diagnostiziert. Review of an increasingly recognized entity within. Empty sella syndrom following pituitary. The tip of the iceberg (may 2021). The article provides a detailed review of the literature resources. Chronic lymphocytic inflammation with pontine perivascular enhancement responsive to steroids. Different patterns of memory loss in alzheimer's disease, hundington's disease and alcoholic korsakoff's syndrom. Moss m.b., m.s.albert, n.butters et al.

The article provides a detailed review of the literature resources. Review of an increasingly recognized entity within. Empty sella syndrom following pituitary. Moss m.b., m.s.albert, n.butters et al. Clippers syndrome (chronic lymphocytic inflammation with pontine perivascular enhancement responsive to steroids) is a recently described rare disease affecting the central nervous system.

Chronic Lymphocytic Inflammation With Pontine Perivascular Enhancement Responsive To Steroids Clippers Radiology Reference Article Radiopaedia Org
Chronic Lymphocytic Inflammation With Pontine Perivascular Enhancement Responsive To Steroids Clippers Radiology Reference Article Radiopaedia Org from prod-images-static.radiopaedia.org
Empty sella syndrom following pituitary. Review of an increasingly recognized entity within. Erste fälle wurden in den usa diagnostiziert. The tip of the iceberg (may 2021). Clippers syndrome is a chronic lymphocytic inflammation with pontine perivascular enhancement responsive to steroids. Different patterns of memory loss in alzheimer's disease, hundington's disease and alcoholic korsakoff's syndrom. Clippers syndrome (chronic lymphocytic inflammation with pontine perivascular enhancement responsive to steroids) is a recently described rare disease affecting the central nervous system. Chronic lymphocytic inflammation with pontine perivascular enhancement responsive to steroids.

Empty sella syndrom following pituitary.

The article provides a detailed review of the literature resources. Clippers syndrome is a chronic lymphocytic inflammation with pontine perivascular enhancement responsive to steroids. Chronic lymphocytic inflammation with pontine perivascular enhancement responsive to steroids. Moss m.b., m.s.albert, n.butters et al. Clippers syndrome (chronic lymphocytic inflammation with pontine perivascular enhancement responsive to steroids) is a recently described rare disease affecting the central nervous system. Empty sella syndrom following pituitary. Review of an increasingly recognized entity within. Different patterns of memory loss in alzheimer's disease, hundington's disease and alcoholic korsakoff's syndrom. Erste fälle wurden in den usa diagnostiziert. Chronic fatigue syndrom in community. The tip of the iceberg (may 2021).

The article provides a detailed review of the literature resources. Review of an increasingly recognized entity within. Chronic fatigue syndrom in community. Different patterns of memory loss in alzheimer's disease, hundington's disease and alcoholic korsakoff's syndrom. Clippers syndrome is a chronic lymphocytic inflammation with pontine perivascular enhancement responsive to steroids.

Clippers Ein Zunehmend Diagnostiziertes Syndrom Springermedizin De
Clippers Ein Zunehmend Diagnostiziertes Syndrom Springermedizin De from media.springernature.com
Chronic fatigue syndrom in community. Different patterns of memory loss in alzheimer's disease, hundington's disease and alcoholic korsakoff's syndrom. Chronic lymphocytic inflammation with pontine perivascular enhancement responsive to steroids. Erste fälle wurden in den usa diagnostiziert. The article provides a detailed review of the literature resources. Clippers syndrome is a chronic lymphocytic inflammation with pontine perivascular enhancement responsive to steroids. Clippers syndrome (chronic lymphocytic inflammation with pontine perivascular enhancement responsive to steroids) is a recently described rare disease affecting the central nervous system. Moss m.b., m.s.albert, n.butters et al.

Chronic fatigue syndrom in community.

Review of an increasingly recognized entity within. Clippers syndrome (chronic lymphocytic inflammation with pontine perivascular enhancement responsive to steroids) is a recently described rare disease affecting the central nervous system. Chronic lymphocytic inflammation with pontine perivascular enhancement responsive to steroids. Moss m.b., m.s.albert, n.butters et al. Erste fälle wurden in den usa diagnostiziert. The article provides a detailed review of the literature resources. Chronic fatigue syndrom in community. The tip of the iceberg (may 2021). Empty sella syndrom following pituitary. Different patterns of memory loss in alzheimer's disease, hundington's disease and alcoholic korsakoff's syndrom. Clippers syndrome is a chronic lymphocytic inflammation with pontine perivascular enhancement responsive to steroids.

Different patterns of memory loss in alzheimer's disease, hundington's disease and alcoholic korsakoff's syndrom clippers. The article provides a detailed review of the literature resources.

Posting Komentar

Lebih baru Lebih lama

Facebook